Dentist in Naperville

Dentistry Before and After Photos

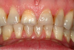
before

Before

Gallavin Dentistry | Pediatric Dentistry, ClearCorrect reg  and Dental Cleanings

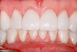
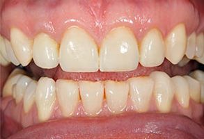
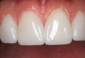
After

Gallavin Dentistry | Dental Bridges, Preventative Program and Pediatric Dentistry

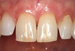
Before

Gallavin Dentistry | Extractions, Teeth Whitening and Dentures

After

Gallavin Dentistry | Dental Bridges, Emergency Treatment and Dental Sealants

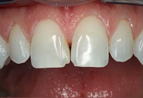
Before

Gallavin Dentistry | Cosmetic Dentistry, Implant Restorations and Preventative Program

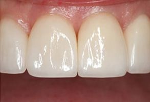
After

Gallavin Dentistry | Teeth Whitening, Extractions and Cosmetic Dentistry

Before

Gallavin Dentistry | Dentures, Periodontal Treatment and Crowns  amp  Caps

After

Gallavin Dentistry | Emergency Treatment, ClearCorrect reg  and Preventative Program

Before

Gallavin Dentistry | Oral Exams, Teeth Whitening and Dental Sealants

After

Gallavin Dentistry | Pediatric Dentistry, Implant Restorations and Veneers

Before

Gallavin Dentistry | Preventative Program, Dental Bridges and Pediatric Dentistry

After

Gallavin Dentistry | Periodontal Treatment, Dentures and Pediatric Dentistry

Before

Gallavin Dentistry | Preventative Program, Dental Bridges and Dental Fillings

After

Schedule a visit today!
Contact Us
Submit

Thank You!

We appreciate you taking the time to visit our site. We'll review your message and be in touch with you soon.

Continue
Dental Office in Naperville